Абсцеси головного мозку як наслідок одонтогенної інфекції. Клінічний випадок
УДК: 616-022.7+616.314:616-002.3+616.8.31
DOI:https//doi.org/10/61948/prevmed-2025-3-27
О. Л. Панасюк
ДУ «Інститут епідеміології та інфекційних хвороб ім. Л. В. Громашевського НАМН України», Центр інфекційних уражень нервової системи, Київ, Україна
У статті наведено випадок формування множинних абсцесів головного мозку, вторинного менінгоенцефаліту внаслідок поширення інфекції з одонтогенного вогнища. Розглянуто фактори, які сприяють формуванню абсцесів головного мозку, зокрема одонтогенної етіології. Представлено аналіз ймовірних збудників, найбільш типові клінічні ознаки абсцесів головного мозку. Також висвітлено чинники, що впливають на прогноз перебігу хвороби. Акцентовано увагу на тому, що в разі діагностування абсцесів головного мозку потрібно якнайточніше встановити джерело, механізм патологічного процесу, зокрема виключити одонтогенний фактор.
Ключові слова: абсцеси головного мозку, одонтогенні інфекції, діагностика, менінгоенцефаліт.
O.L. Panasyuk
BRAIN ABSCESSES SECONDARY TO ODONTOGENIC INFECTION. A CLINICAL CASE
SI “The L. V. Hromashevsky Institute of Epidemiology and Infection Diseases of NAMS of Ukraine”, Center for Infectious Diseases of Nervous Systems, Kyiv, Ukraine
The study revealed the formation of multiple brain abscesses and secondary meningoencephalitis as a result of widespread infections from odontogenic decay. Factors considered that contribute to the formation of brain abscesses, odontogenic etiology. An analysis of the most common clinical signs of brain abscesses is presented. Factors considered that influence the prognosis of illness. The emphasis is placed on the fact that in diagnosing brain abscesses it is necessary to be able to more accurately establish the body, the mechanism of the pathological process, and immediately turn off the odontogenic factor.
Key words: brain abscesses, odontogenic infections, diagnosis, meningoencephalitis.
Серед «великої трійки» інфекцій центральної нервової системи абсцес мозку завжди був на останньому місці з погляду пріоритету
досліджень. Однак абсцес головного мозку — цікавий та складний стан, що має мультидисциплінарний характер, діагностичні проблеми та потенційно тяжкі наслідки [1]. Абсцес головного мозку — це осередкова інтрапаренхіматозна інфекція, що характеризується ділянками локалізованого церебриту і центрального некрозу, оточеними добре васкуляризованою капсулою з імунних клітин та інших матеріалів внаслідок бактеріальної, паразитарної, грибкової інфекції аботравматичного впливу.
Етіологія, частота та віддалені наслідки абсцесу головного мозку суттєво різняться в різних популяціях. Частота його становить приблизно 8% внутрішньочерепних утворень у країнах, що розвиваються, і від 1% до 2% у західних країнах, при цьому на мільйон припадає приблизно чотири випадки.
Абсцес головного мозку може виникнути у будь- якому віці, але більшість випадків відбувається між третім та п’ятим десятиліттями життя (27–57 років), тоді як у педіатрії захворювання найчастіше зустрічається у дітей віком від 4 до 7 років (25%). Новонароджені посідають третє місце у групах високого ризику [2].
У літературі постійно повідомляється про значну перевагу чоловіків, незалежно від географічного положення з співвідношенням чоловіків і жінок від 1,5:1 до 4,5:1. Пацієнти з ослабленим імунітетом утворюють особливу субпопуляцію, яка схильна до більш високої частоти абсцесів головного мозку з ширшою різноманітністю збудників. Географічні та сезонні відмінності не мають істотного впливу.
За механізмами розвитку абсцеси головного мозку поділяють на первинні та вторинні. Вторинний абсцес головного мозку виникає в результаті відкритої травми головного мозку або хірургічного втручання, натомість первинний абсцес виникає внаслідок гематогенного або суміжного поширення інфекції [3].
Для пояснення поширення інфекції із суміжного вогнища (в 25–50%) в головний мозок запропоновано декілька механізмів: поширення з первинного вогнища на прилеглу кістку і потім в головний мозок (наприклад, фронтит, ускладнений остеомієлітом задньої стінки пазухи); поширення місцевої інфекції в мозок через емісарні вени черепа — бактерії або гриби в синусах можуть поширюватися ретроградно з судинної мережі слизової оболонки пазухи через велику безклапанну мережу вен та венозних синусів до венозної системи головного мозку; поширення через лімфатичні шляхи; поширення через внутрішній слуховий прохід або структури равлика (при отиті); та глибока інокуляція в мозок, наприклад, при нейрохірургічних маніпуляціях [4]. В імунокомпетентних пацієнтів найпоширенішими патогенами абсцесів мозку були стрептококи (54%) і стафілококи (15%), за якими слідували анаероби. Анаеробні патогени, такі як сімейства Streptococcus (F. Milleri), Fusobacterium Nucleatum та Porfiromonas Gingivalis, є поширеними бактеріальними агентами, що діагностуються при абсцесі мозку. Примітно, що етіологія залишається невстановленою у 10–20% випадків
Абсцес мозку одонтогенного походження зустрічається рідко (2–5% від усіх абсцесів мозку). В практиці лікарі часто не враховують, що порожнина рота може бути первинною причиною інфекції. Поширеність анаеробних патогенів у порожнині рота в 3 рази вища, ніж аеробних. Анаеробні організми присутні майже у всіх стоматологічних інфекціях, як пародонтальних, так і ендодонтичних. Менше 5% одонтогенних інфекцій викликані аеробними бактеріями (переважно це види стрептококів). Аеробні бактерії служать ініціаторами інфекції, готуючи місцеве середовище для анаеробної бактеріальної інвазії, оскільки місцевий стан тканин змінюється на гіпоксичний, що сприяє анаеробному зростанню [5].
Серед всіх причин одонтогенні та щелепно-лицеві інфекції зустрічаються відносно рідко. Попередні дослідження документували виникнення абсцесів мозку в результаті хронічного пародонтиту, періапікального пародонтиту, карієсу зубів та інших пов’язаних з ними станів, а також запальних станів викликаних стоматологічними втручаннями [6].
Porphyromonas gingivalis (P. gingivalis), Tannerella forsythia та Aggregatibacter actinomycetemcomitans є добре документованими патогенами пародонтиту [7]. У роті налічується близько 774 видів бактерій та анаеробні бактерії в основному поширені в глибоких пародонтальних кишенях [8].
Хронічний пародонтит є розповсюдженим захворюванням у дорослих (шостим за поширеністю захворюванням у світі). Близько 10% населення світу страждають від важкого пародонтиту. Згідно з ретроспективним дослідженням, близько 13,6% абсцесів головного мозку мали одонтогенну етіологію. Якщо інфекційний процес не лікувати на ранній стадії, клінічна картина погіршиться настільки, що стане небезпечною для життя пацієнта. Більшість одонтогенних інфекцій проникають у кістку, пере- творюючись на вестибулярні абсцеси [9]. Однак, якщо поширення відбувається за межами м’язових прикріплень, інфекція поширюється на фасціальні простори, що призводить до більш серйозних інфекцій, які можуть призвести до тромбозу печеристого синуса, обструкції дихальних шляхів, медіастиніту та ендокардиту. Інфекція також може поширюватися гематогенним, лімфатичним або прямим венозним шляхом і викликати абсцес мозку [10].
Розташування абсцесу може бути різним. Найчастіше залучається лобова частка (45,7%), але абсцес може вражати й інші ділянки, наприклад, тім’яну (19,6%), а також скроневу та потиличну частки (13% та 10,9% відповідно) [11].
Більшість клінічних проявів абсцесу головного мозку зазвичай неспецифічні, що призводить до затримки встановлення діагнозу [12]. Клінічна картина залежить від походження інфекції, локалізації, розміру, кількості абсцесів, конкретно залучених та прилеглих анатомічних структур, це стосуються цистерн, шлуночків і венозних синусів, а також будь- якого вторинного пошкодження головного мозку. Тріада: лихоманка, головний біль та осередковий неврологічний дефіцит спостерігається менш ніж у половини хворих (2–43%) [12].
Перебіг формування абсцесів головного мозку варіює від млявого до блискавичного. Середній час від появи симптомів до звернення до медичного центру становить від 7 до 25 днів [13]. У більшості звітів вказується, що час появи симптомів в окремих випадках дуже варіативний і може становити від декількох годин до більш ніж 60 днів з моменту появи симптомів.
Виділено 4 патоморфологічні стадії абсцесу головного мозку:
- 1 етап. Церебрит (перші 1–3 дні): осередковий набряк та запалення, що складається з поліморфноядерних лейкоцитів, плазматичних клітин, лімфоцитів та макрофагів з коагуляційним некрозом або без нього в центральному ядрі; нечіткі краї без явних ознак формування капсули;
- 2 етап. Пізня стадія церебриту (4–9 днів). Чітко окреслена зона запалення з великим некротичним ядром, оточена скупченням макрофагів та фібробластів; виражене збільшення судинної проліферації та ранні ознаки формування капсул;
- 3 етап. Рання стадія абсцесу (10–14 днів). Менша зона некротичного ядра, оточена фібробластами та насиченими ліпідами макрофагами та зрілою колагеновою капсулою;
- 4 етап. Пізня стадія абсцесу (після 14-го дня). Внутрішній стрижень некрозу, оточений шаром запальних клітин усередині щільної колагенової капсули; виражений гліоз та реактивні астроцити зі зменшенням набряку.
Розвиток технологій МРТ призвів до появи кількох методів візуалізації, включаючи магнітно-резонансну перфузійну томографію, магнітно-резонансну спектроскопію (МРС) та дифузно-зважену магнітно- резонансну томографію. Магнітно-резонансна томографія (МРТ) МРТ є методом візуалізації вибору для діагностики та спостереження за абсцесами головного мозку. МРТ більш чутлива до ранніх церебритів та сателітних уражень, особливо у стовбурі головного мозку, а також до оцінки некрозу та ступеня ураження. Якщо МРТ недоступна, рекомендується КТ із контрастним посиленням [14].
Ускладнення абсцесів головного мозку. Віддалені наслідки спостерігаються приблизно у 45–80% пацієнтів через 6 місяців після виписки і зазвичай включають вогнищевий неврологічний дефіцит. Епілепсія виникає протягом тривалого часу в 30–50% випадків, особливо при абсцесі скроневої частки та субдуральної емпієми. Розрив абсцесу головного мозку відбувається у 10–35% пацієнтів та пов’язаний із значно підвищеним ризиком смерті та несприятливого результату, розвитком вентрикуліту.
Фактори ризику розриву залишаються погано вивченими, хоча передбачається безпосередня близькість до шлуночків.
Смертність коливається від 17 до 32%. Поганий прогноз відзначається у пацієнтів з ослабленим імунітетом, цукровим діабетом або цирозом печінки та низькою оцінкою коми Глазго [15].
Питання про правильне лікування абсцесу головного мозку досі залишається спірним. У сучасній доказовій медицині є орієнтовні дані про те, яких саме пацієнтів слід лікувати тільки медикаментами; які антибіотики
мають кращу проникність при абсцесі головного мозку, кому і коли слід проводити операцію; яка ефективність антибіотиків, яка ефективність лікування; ідеальний хірургічний підхід та які довгострокові результати. Незважаючи на відсутність чітких даних, наявні дослідження показують, що комбінований чи міжпрофесійний підхід може бути найкращим способом знизити захворюваність та смертність від цієї серйозної патології [16].
Як ілюстрацію формування абсцесів головного мозку внаслідок поширення інфекції одонтогенної етіології представляємо власне спостереження, клінічний випадок.
Пацієнтка Т., 1981 р. н. Надійшла у відділення інтенсивної терапії та детоксикації (ВІТіД) ІЕІХ з іншої лікарні у тяжкому стані, з діагнозом: гострий бактеріальний менінгоенцефаліт, задля обстеження, уточнення діагнозу, корекції лікування.
При надходженні спостерігалось порушення свідомості по ШКГ 13 балів, була загальмована, на питання відповідала, але швидко виснажувалась. Скарги та анамнез хвороби записані зі слів пацієнтки, родичів та записів медичної документації.
Скарги на постійний інтенсивний головний біль переважно в потиличній зоні, нудоту, світлобоязнь; головокружіння; двоїння в очах; біль у м’язах, очах; закладеність носа; асиметрію обличчя; оніміння шкіри та слабкість правих кінцівок; лабільність АТ з підвищенням до 170/100 мм. рт. ст.; відчуття дезорієнтації; загальну різку слабість, підвищення температури тіла до 38,7 °С.
Захворіла гостро 13–15.06.23, коли впродовж кількох діб турбував інтенсивний головний біль, приймала знеболюючі препарати. 15.06.23 підвищилася температура тіла до 38,4 °С. 17.06.23 — оніміла права половина обличчя, з’явилася слабкість в кінцівках. Була екстрено госпіталізована в лікарню з підозрою на гостре порушення мозкового кровообігу (ГПМК). Проведено комплексне обстеження: в СМР — плеоцитоз 1200 кл/мк, переважно нейтрофіли. ПЛР СМР: HSV ½ -, CMV -, EBV -, HHV6 -, VZV -, МБТ +. Консультація фтизіатра: бактеріальний менінгоенцефаліт.
МРТ 24.06.23 головного мозку — множинне вогнищеве ураження (mts? абсцеси?) рисунок 1 а, b.

За даними КТ ОГК, ОБП, ОМТ з контрастуванням додаткових вогнищ запалення, онкопатології виявлено не було. Діагноз було змінено на: менінгоенцефаліт, багатовогнищеве ураження головного мозку, ЦД, II тип, субкомпенсована стадія.
Призначено: меронем 3,0 г/добу, протинабрякова терапія, але за 10 днів лікування позитивної клінічної динаміки відмічено не було. Зберігалась наявна вогнищева неврологічна симптоматика, гарячка з підвищенням температури тіла до 38,6 °С, порушення свідомості.
Розвиток хвороби пацієнтка ні з чим не пов’язувала. Травм не було. Укусів кліщів раніше не помічала. У сім’ї всі були здорові. Працювала вчителькою молодших класів. Регулярно проходила профілактичні медичні огляди.
Стан на момент надходження до ВІТ тяжкий. Свідомість по ШКГ 13 балів. Дещо загальмована, адинамічна. Підвищеного харчування, правильної статури. Шкіра та видимі слизові – бліді, чисті, акроціаноз. Лімфатичні вузли – не збільшені. Носове дихання – утруднене. Дифузний зоб 2-3 ст. Язик – сухий, обкладений білим нальотом. Дихання – самостійне, аускультативно послаблено у нижніх відділах з двох сторін, хрипів немає.
SpO2 – 96–97%. Серцеві тони – аритмічні, приглушені. АТ — 140/90 мм. рт. ст., пульс — 89/хв, температура тіла —
38,4 °С. Живіт – доступний пальпації, безболісний у всіх відділах. Печінка + 2 см. Селезінка – не пальпується. Симптом Пастернацького — нег. Фіз. виправлення – не порушені.
У неврологічному статусі: свідомість по ШКГ 13 балів. Очні щілини D=S; фотореакція збережена. Зіниці S=D. Горизонтальний дрібнорозмашистий ністагм. Рух очних яблук болісний у крайніх відведеннях. Конвергенція достатня. Зглажена ліва носогубна складка. Пальпація точок виходу ЧН болісна. Язик по центру. Мова, ковтання не порушені. Марінеску- Радовічі + з 2-х сторін. Хоботковий рефлекс +. Загальна гіперестезія. М’язовий тонус дещо знижений справа. Сила в правих кінцівках на рівні 3 балів, зліва 4-5 балів. Сухожилкові рефлекси з верхніх кінцівок низькі, D<S, нижніх кінцівок низькі D<=S. Патологічні стопні рефлекси: рефлекс Жуковського-Корнілова справа +, Бехтерева +. Правобічна гемігіпестезія обличчя, кінцівок зі зниженням глибокої чутливості.
Менінгеальні симптоми: ригідність м’язів потилиці ++, симптом Керніга + з 2-х сторін. ПНП виконує з дисметрією справа. Помірна болючість по ходу паравертебральних точок СII –IV, LV – SI. Функцію тазових органів контролює.
За результатами обстеження при надходженні: гемоглобін — 148 г/л; тромбоцити — 410×109/л; лейкоцити — 8,1×109; сегментояд./нейтроф.% — 78,5; лімфоцити% — 15,7; моноцити% — 6,1; ШОЕ — 13 мм/ч; білірубін — 6,7 мкмоль/л; АЛТ — 19,4 ОД/*л; АСТ — 53,1 ОД/*л; ЛДГ — 217,4 ОД/*л; ГГТ — 8,8 ОД/*л; ЩФ — 168,5 ОД/*л; сечовина — 4,9 ммоль/л; креатинін — 100,6 ммоль/л; глюкоза — 18,3 ммоль/л; загальний білок — 53,1 г/л; альбумін — 39,0 г/л; альфа-амілаза — 71,7 ОД/*л. С-реактивний білок — негативний мг/л; прокальцитонін — 0,04 п/г.

29.06.23 СМР цитоз 75 клітин, н/ф 49%, лімф 51%; Панді ++++, білок 2,05 г/л, глюкоза
12,1 ммоль/; тиск 290 мм. вод. ст.
29.06.23 СМР (ІФА, ПЛР) 30.06.23 — HSV1/2 — отр.,
HSV1/2 Ig, G — нег.; CMV — нег., EBV — нег., МБТ (ПЛР) — нег.
30.06.23 СМР Xpert МБТ — нег.
30.06.23 ІФА кров HIV (скринінг) — нег. Tr. Pallidum (скринінг) — нег.;
30.06.23 Кров блот аналіз ІФА IgM, G Borrelia burgdorferi, afzelii, gorenii — нег.
30.06.23 Кров: ANA — норма, С-реактивний білок — нег., HHV6 (ПЛР, кров) — нег., EBV (ПЛР, кров) — нег, ТТГ — норма. ревмопроби — норма; IgG до гельмінтів, найпростіших, в т.ч. цистицерків — нег.
29.06.23 бактеріологічні дослідження: СМР — нег., кров — нег.
29.06.23 консультація невролога: менінгоенцефаліт.
Була призначена терапія: меронем 6,0/добу, метронідазол 1500 мг/добу; моксифлоксацин 400 мг/добу, флуконазол 200 мг/добу; протизапальна, реокоригуюча, дезінтоксикаційна терапія. Інтратека- льна терапія №10.
Додатково: чіткий контроль рівня глюкози у крові; п/к Актропід під контролем рівня глюкози; п/к Лантус 10 од. (ввечері).
На фоні терапії спостерігалася позитивна клініко- лабораторна динаміка: відновлення свідомості, нормалізація температури тіла, підвищення сили в правих кінцівках, розширення рухової активності.
Контрольні дослідження СМР:
03.07.23 цитоз 67 клітин, лімф 95%; Панді +++,
білок 1,49 г/л, глюкоза 7,6 ммоль/л; тиск 270 мм. вод. ст.;
05.07.23 цитоз 45 клітин, лімф; Панді ++, білок 0,92 г/л, глюкоза 6,6 ммоль/л; тиск 250 мм. вод. ст.
10.07.23 цитоз 47 клітин, 98% лімф; Панді +,
білок 1,1 г/л, глюкоза 9,2 ммоль/л; тиск 200 мм. вод. ст.
19.07.23 цитоз 30 клітин, 98% лімф; Панді +,
білок 0,90 г/л, глюкоза 9,8 ммоль/л; тиск 210 мм. вод. ст.
30.07.23 цитоз 13 клітин, лімф; Панді +,
білок 0,70 г/л, глюкоза 6,8 ммоль/л; тиск 170 мм. вод. ст.
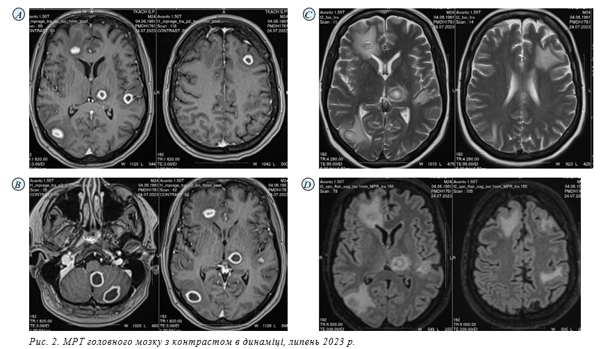
24.07.23 МРТ головного мозку з контрастом. Протокол сканування: виконані T2WI, T2_spc_flair_iso, T1WI, DWI, SWI
томограми головного мозку у аксіальній, корональній та сагітальній проєкціях, T1_mpr + C з подальшою мультипланарною реконструкцією.
МР-картина множинного вогнищевого ураження супра- та інфратенторіальних відділів головного мозку, що за МР-характеристиками може більш ймовірно відповідати множинним внутрішньомозковим абсцесам (бактеріальної/фунгальної/специфічної етіології?). Супутня знахідка: звертає на себе увагу наявність при попередній МРТ округлого вогнища в зоні верхньої щелепи праворуч (верхній зубний ряд праворуч) дотично до нижньої стінки правої верхньощелепної пазухи діаметром до 14 мм, з ознаками обмеження коефіцієнта дифузії (не виключно, одонтогенний абсцес/ інфільтрат?), який при поточному обстеженні має розміри ≈14х13х13,3мм, неоднорідно периферично накопичує контрастний препарат.
Враховуючи супутню знахідку — ймовірний абсцес/ інфільтрат в зоні верхньої щелепи праворуч, слід виключати одонтогенну природу внутрішньомозкового ураження. Порівняно з попередньою МРТ визначається деконфігурація вогнищ, зміна їх розмірів та зон перифокального набряку, потовщення периферичних зон накопичення контрастного препарату, що відповідає капсулам (ймовірно, відображає стадійність формування абсцесів). Кількість вогнищ попередня (13), появи нових вогнищ не визначається. Залишається актуальним виключення вторинного ураження (рис. 2 а, b, c).
З урахуванням заключення МРТ було проведено уточнення даних анамнезу хвороби. Пацієнтка згадала, що за 3 тижні до хвороби дійсно болів зуб, на ясні над зубом сформувався абсцес (пародонтальний абсцес), який самостійно дренувався.

Після цього біль зник, рана загоїлась. До стоматолога по допомогу не зверталась. Пацієнтка була екстрено спрямована до стоматолога, хірурга. Вогнище запалення було дреновано. З рани виділено за результатами бактеріологічного дослідження — Streptococcus mitis 106. Подальша антибактеріальна терапія була продов- жена з урахуванням чутливості виділеного збудника до антибактеріальних препаратів. Пацієнтка була виписана у задовільному стані: в свідомості, збільшилась сила в правих кінцівках на 1 бал; розширився об’єм рухів, але турбував періодичний головний біль. Діагноз при виписці: множинні абсцеси головного мозку, вторинний гнійний менінгоенцефаліт одонтогеної етіології з розвитком набряку-набухання головного мозку, гіпертензійно-гідроцефального синдрому, бульбарних розладів, правобічного прозопарезу, помірного правобічного геміпарезу, вестибуло- кохлеарних порушень, стійкого цереброастенічного синдрому. Цукровий діабет II типу, стадія субкомпенсації. Пародонтальний абсцес. Рекомендовано подальше підтримуюче лікування за місцем проживання, спостереження сімейного лікаря, невролога, інфекціоніста, ендокринолога, нейрохірурга, хірурга-стоматолога. Призначена консолідуюча антибактеріальна терапія: моксифлоксацин 400 мг на добу + лінезолід 600 мг 1 раз на добу + флуконазол 200 мг на добу до 1 міс. Після виписки пацієнтка залишилась під спостереженням з регулярним контролем лабораторних показників, МРТ головного мозку. Впродовж 2 років пацієнтка поступово фізично та психологічно відновлювалась, працювала за спеціальністю, рецидивів зафіксовано не було. За даними контрольного МРТ головного мозку через 4 міс. після початку хвороби (рис. 3 a, b, c): 15.10.23 МРТ виконані T2WI, T2_spc_flair_iso, T1_ mpr, DWI, SWI томограми головного мозку в аксіальній, корональній та сагітальній проєкціях, T1_mpr + C з подальшою мультипланарною реконструкцією. МР-картина множинного вогнищевого ураження супра- та інфратенторіальних відділів головного мозку, що за МР- характеристиками може більш ймовірно відповідати множинним внутрішньомозковим абсцесам (бактеріальної/ фунгальної/специфічної етіології?). Порівняно з попередньою МРТ від 25.08.2023 р. визначається позитивна динаміка у вигляді зменшення розмірів вогнищ та зон перифокального набряку (див. опис), деконфігурація вогнищ, зникнення капсул вогнищ (ймовірно, відображає стадійність резорбції абсцесів).
Кількість вогнищ попередня, появи нових вогнищ не визначається. Супутня знахідка: виявлене округле вогнище в зоні верхньої щелепи праворуч (верхній зубний ряд праворуч) при попередній МРТ наразі чітко не візуалізується. Визначається потовщення слизової оболонки верхньої щелепи праворуч до 6,8 мм. Контрольне МР обстеження через 2 роки показало позитивну динаміку, регрес вогнищевих змін головного мозку (рис. 4 а, b). 7.06.2025 МР виконані T2WI, DWI, SWI, T2_spc_ dark-fluid_iso, T1 MP-RAGE_iso, T1 MP- RAGE_iso + C сагітальні, корональні та аксіальні томограми головного мозку з подальшою мультипланарною реконструкцією. МР-картина множинного вогнищевого ураження супра- та інфратенторіальних відділів головного мозку, що за МР-характеристиками може більш ймовірно відповідати множинним внутрішньомозковим абсцесам в стадії регресу. Порівняно з попередньою МРТ від 26.01.2025 р. відсутнє накопичення контрасту окремих вогнищ, в решті
МР-картина залишається стабільною. Кількість вогнищ стабільна, появи нових вогнищ не визначається. Візуалізується пристінкове потовщення слизових оболонок обох верхньощелепних пазух до 3,0 мм, зліва кіста діаметром до 10 мм. Визначається округле вогнище в правій верхньощелепній пазусі (верхній зубний ряд праворуч) гетерогенного МР сигналу, загальним умовним діаметром 14,0 мм, з незначним неоднорідним переважно периферичним накопиченням контрастного препарату.


Обговорення. Аналізуючи даний клінічний випадок, можна вказати на деякі його особливості та складності діагностики:
- В анамнезі хвороби спочатку не було даних про наявність стоматологічної патології. Пацієнтка не придала належної уваги формуванню пара- донтального абсцесу та не пов’язувала розвиток хвороби саме з цим фактором.
- У пацієнтки спостерігалось формування множинних абсцесів (загалом 13), що більш харак- терне для гематогенної дисемінації збудників, ніж для контактної.
- Відмічено поєднання кількох тяжких патологічних станів, які є ускладненнями запальних процесів: вторинного менінгіту та абсцесів головного мозку.
- При проведенні МРТ головного мозку в динаміці було виявлено, як «знахідка» вогнище запалення в верхньої щелепи праворуч (верхній зубний ряд праворуч), що допомогло встановити одонтогенний фактор як ініціальний. При дренуванні даного вогнища був виділений Streptococcus mitis 106.
- За результатами комплексного обстеження інших вогнищ запалення не діагностували, бактеріологічні посіви крові, СМР були негативними.
- На фоні комбінованої стабілізаційної (6 тижнів) та підтримуючої (4 тижні) терапії отримана стійка позитивна динаміка, як клінічно та і за даними МР досліджень. Впродовж 2 років зафіксовано значний регрес вогнищ запалення, повноцінне фізичне та неврологічне відновлення.
Висновки
При виявленні абсцесів головного мозку необхідно проводити комплексне обстеження з обов’язковим виключенням іодонтогенного фактору, особливо у випадках, коли чітко вогнище запалення не визначається. При призначенні терапії пацієнтам з підозрою або встановленою о д о н т о г е н н о ю етіологією процесу потрібно враховувати специфіку місцевої флори з акцентом на анаеробні бактерії.
Література
-
Junying Huang, Haining Wu, Honghong Huang, Weiqi Wu, Bowen Wu, Lingxing Wang. Clinical characteristics and outcome of primary brain abscess: a retrospective analysis Affiliations Expand / BMC Infect Dis. 2021. Dec 13; 21(1):1245. doi: 10.1186/s12879-021-06947 PMID: 34903183; PMCID: PMC8667431
-
Ruiz-Barrera M. A., Santamaría-Rodríguez A. F., Zorro O. F. Brain abscess: A narrative review Absceso cerebral: revisión narrativa de la literatura Author links open overlay panel/ Neurology Perspectives. Volume 2. Issue 3. July–September 2022. P. 160–167.
-
Junying Huang, Haining Wu, Honghong Huang, Weiqi Wu, Bowen Wu & Lingxing Wang. Clinical characteristics and outcome of primary brain abscess: a retrospective analysis/ BMC Infectious Diseases. V. 21., Article number: 1245 (2021) 21(1): 1245. https://doi.org/10.1186/s12879-021-06947-2
-
Hernando Alvis Miranda1, Sandra Milena Castellar-Leones, Mohammed Awad Elzain, Luis Rafael Moscote-Salazar. Brain abscess: Current management Affiliations Expand/ J. Neurosci Rural Pract. 2013. Aug;4(Suppl 1):S67–81. doi: 10.4103/0976-3147.116472. PMID: 24174804 PMCID: PMC3808066 DOI: 10.4103/0976-3147.116472
-
Bodilsen Jacob, Mariager Theis, Storgaard Duerlund Laerke Brain abscess caused by oral bacteria: a nationwide population-based cohort study / Clinical Infectious Diseases, V. 78, Issue 3, March 15, 2024, Pages 544–553, https://doi.org/10.1093/cid/ciad678
-
Oliveira R. L., Raffaele R. M., Baldo M. E., Jardim E. C. Brain abscess and odontogenic infection/ Rev Bras Ter Intensiva. 2020;32(1):161–162.
-
Daniels J. S.1, AlBakry I.1, Braimah R. O.2*, Samara M. I. Cerebral Abscess: A Complex Complication of Odontogenic Infection: A Case Report and Review of the Literature/ Surgeries. 2019: Volume 1, Issue 1. Received: October 03, 2019. 2019: Volume 1, Issue DOI : https://doi.org/10.35702/surg.10004
-
Multiple Brain Abscesses Secondary to Odontogenic Infection: A Clinical Case/ Report Brasilian Neurosurgery March 2021 40(04) DOI:10.1055/s-0040-1722242 DOI:10.1055/s-0040-1722242 License CC BY-NC-ND 4.0
-
Luis Felipe Burgos-Larraín, Álvaro Vázquez-Portela, Carlos M. Cobo-Vázquez. Brain complications from odontogenic infections: A systematic review Author links open overlay panel/ Journal of Stomatology, Oral and Maxillofacial Surgery Volume 123. Issue 6. November 2022. Pages 794–800.
-
Michelle Kameda-Smith, Crystal Fong, Alice K. Graham, Cheryl Main, Jian-Qiang Lu. Polymicrobial brain abscesses: A complex condition with diagnostic and therapeutic challenges /Journal of Neuropathology & Experimental Neurology, Volume 83, Issue 10, October 2024, Pages 798–807. https://doi.org/10.1093/jnen/nlae058
-
Walter A. Hall, Fassil B. Mesfin. Brain Abscess In: StatPearls [Internet]. Treasure Island (FL): StatPearls Publishing; 2025 Jan. 2024 Sep 21. Affiliations Expand PMID: 28722871
-
Bookshelf ID: NBK441841
-
Jacob Bodilsen, Theis Mariager, Lærke Storgaard Duerlund, Merete Storgaard, Lykke Larsen, Christian Thomas Brandt. Brain Abscess Caused by Oral Cavity Bacteria: A Nationwide, Population-based Cohort Study / Clinical Infectious Diseases, Volume 78, Issue 3, 15 March 2024, Pages 544–553, https://doi.org/10.1093/cid/ciad678 Published: 08 November 2023.
-
Ruiz-Barrera M. A., Santamaría-Rodríguez A. F., Zorro O. F. Brain abscess: A narrative review Absceso cerebral: revisión narrativa de la literatura /Neurology Perspectives. Volume 2, Issue 3, July–September 2022, Pages 160–167
-
Ana Cristina Corrêa Da Silva1 Patrícia Verónica Aulestia Viera1 Augusto Arcemiro. CASE REPORT Brain abscesses due to odontogenic infection: Case series/ 2021 Special Care Dentistry Association and Wiley Periodicals LLC//Spec Care Dentist. 2021;1. DOI: 10.1111/scd.12659.
-
Jacob Bodilsen, Theis Mariager, Lærke Storgaard Duerlund, Merete Storgaard, Lykke Larsen, Christian Thomas Brandt Brain Abscess Caused by Oral Cavity Bacteria: A Nationwide, Population-based Cohort Study Free/ Clinical Infectious Diseases, Volume 78, Issue 3, 15 March 2024, Pages 544–553, https://doi.org/10.1093/cid/ciad678 Published: 08 November 2023.
-
Jacob Bodilsen1, Quintino Giorgio D’Alessandris2, Hilary Humphreys3. European society of Clinical Microbiology and Infectious Diseases guidelines on diagnosis and treatment of brain abscess in children and adults/Clin Microbiol Infect 2024 Jan;30(1):66-89; doi: 10.1016/j.cmi.2023.08.016. Epub 2023 Aug 29. PMID: 37648062 DOI: 10.1016/j.cmi.2023.08.016
Відомості про авторів:
Панасюк О. Л. — д. мед. н., с. н. с., завідувач відділом інтенсивної терапії та детоксикації, в/о керівника Центру інфекційних уражень нервової системи
ДУ «Інститут епідеміології та інфекційних хвороб ім. Л. В. Громашевського НАМН України».
ORCID: 0000-0002-5849-6606
E-mail: newhelen17@gmail.com
Information about the authors:
Panasyuk O. L. — Doctor of Medical Sciences, Senior Researcher, Head of the Department of intensive therapy and detoxification, Head of the Center for Infectious Diseases of the Nervous System of the SI «L. V. Hromashevsky Institute of Epidemiology and Infectious Diseases of National Academy of Medical Sciences of Ukraine».
ORCID: 0000-0002-5849-6606
E-mail: newhelen17@gmail.com
